


ORTODONCIA ES UNA ESPECIALIDAD DE LA ODONTOLOGÍA QUE SE ENCARGA DE LA CORRECCIÓN DE LOS DIENTES Y HUESOS POSICIONADOS INCORRECTAMENTE.
LOS DIENTES EN MALA POSICIÓN Y LOS QUE NO MUERDEN CORRECTAMENTE UNOS CONTRA OTRO SON DIFÍCILES DE MANTENER LIMPIOS, CORREN RIESGOS DE PÉRDIDA PRECOZ DEBIDO A CARIES Y ENFERMEDADES PERIODONTALES, Y OCASIONAN UNA TENSIÓN EXTRA SOBRE LOS MÚSCULOS DE LA MASTICACIÓN QUE PUEDE GENERAR DOLORES DE CABEZA, SÍNDROME DE ATM Y DOLORES VARIOS EN CUELLO, HOMBROS Y ESPALDA. ADEMÁS, LOS DIENTES GIRADOS O POSICIONADOS INCORRECTAMENTE DESMERECEN NUESTRO ASPECTO
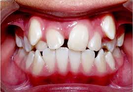
algunos problemas
sobremordida: Las coronas de los dientes anteriores superiores cubren casi por completo las coronas de los dientes inferiores.
Submordida: El paciente presenta un aspecto de "bulldog", ó los dientes inferiores se extienden excesivamente hacia delante o bien los superiores se posicionan muy hacia atrás.
Mordida cruzada: Se presenta cuando al morder normalmente, los dientes superiores no caen levemente por delante de los inferiores anteriores o ligeramente por fuera de los dientes inferiores posteriores.
Mordida abierta: Espacio que se produce entre las superficies de mordida de los dientes anteriores cuando de algún lado el resto están cerrados.
Línea media desplazada: Se produce cuando la línea imaginaria que divide en el centro a los dientes anteriores superiores no se alinea con la de los dientes inferiores.
Espaciamiento: Separaciones o espacios entre los dientes como resultado de piezas faltantes o dientes que no ocupan todo el espacio.
Apiñamiento: Cuando los dientes son demasiado grandes para ser acomodados en el espacio que ofrecen los maxilares.















